La sfârșitul lunii noiembrie a avut loc, la Spitalul Clinic de Urgenţă „Bagdasar-Arseni”, un curs coordonat de prof. dr. Mircea Gorgan despre stadiul actual și perspective de viitor în managementul hemoragiei cerebrale.
Cursul, dedicat rezidenţilor, a vizat educaţia medicală inclusiv prin exemple clinice, ilustrate prin materiale video din timpul intervenţiilor chirurgicale.
Hemoragia subarahnoidiană este o urgenţă medicală generată de prezenţa sângelui necoagulat în spaţiul subarahnoidian. Cu un prognostic grav, greu de gestionat, afectează frecvent pacienţii cu vârste cuprinse între 50 și 55 de ani, preponderent de sex feminin. Standardul de aur pentru diagnostic este angiografia digitalizată, cu substanţă de contrast, care arată arterele implicate, sacul de colet, vascularizaţia locoregională etc.
O importanţă majoră în clinica de specialitate o au anevrismele localizate sub nervul optic, care dau cecitate – după clipare, problema clinică a pacientului se rezolvă.
În cadrul circulaţiei venoase intracraniene trebuie să se acorde importanţă și glandei tiroide – pentru că cele două plexuri (anterior și posterior) sunt foarte aproape de aceasta. De asemenea, vena lui Trolard trebuie păstrată intactă – dintre rezultatele nefaste pentru pacient, cel mai „ușor de digerat” fiind hemiplegia, iar cel mai grav, decesul. Tot aici, s-a pus accentul și pe neabordarea chirurgicală a venei talamostriate, dată fiind importanţa ariei de vascularizaţie.
În partea a doua a cursului, abordarea s-a axat mai mult pe anevrisme și malformaţii arteriovenoase intracraniene (MAV) – aspecte de diagnostic (CT, RMN, angiografie), precum și aspecte particulare care ţin de vascularizaţia intracraniană.
După ce se stabilește diagnosticul de anevrism și de MAV, se face selecţia modalităţilor eficiente de tratament. Este foarte important să se determine cu acurateţe, prin investigaţii imagistice, localizarea, mărimea, morfologia, statusul anevrismului intracranian (rupt sau nerupt) și modificările asociate.
În cazul în care se suspicionează un anevrism carotido-oftalmic, diagnosticul se poate stabili prin angiografie-CT (în ultimii ani, înlocuiește angiografia clasică și devine gold standard), angiografia-RMN (poate oferi date despre relaţia dintre anevrism, nervii optici și chiasma optică), examenul Doppler (util în suspiciunea de ischemii pe arterele periferice; având în vedere situarea foarte bazală a anevrismelor carotido-oftalmice, rezultatele sunt parazitate de grosimea ţesutului osos). Malformaţiile venei Galen au o simptomatologie diferită, în funcţie de vârsta pacientului. Astfel, la nou-născut apar insuficienţa cardiacă și multiorganică, la sugar și la copilul mic se pot întâlni deficite neurocognitive, crize epileptice, cardiomegalie. Aceste simptome sunt cauzate de tulburări hidrodinamice și/sau de staza venoasă. Specialiștii au adus în discuţie importanţa tratamentului endovascular ca unică terapie; derivaţia LCR într-o malformaţie de venă Galen poate agrava evoluţia stării de sănătate a pacientului.
Artera comunicantă posterioară (AcoP) are, potrivit specialiștilor, un calibru mai mare la copii faţă de adulţi, neexistând o corelaţie directă între diametru și valoarea funcţională a arterei. În 10% dintre cazuri, ACoP poate fi hipoplazică sau absentă; rareori poate fi dedublată. Aceasta generează, în medie, opt perforante, cu variaţii între 4 și 14 ramuri lungi, cu calibru diferit. Cel mai important ram este artera premamilară, denumită „artera talamo-perforantă anterioară”, ce își are originea în treimea anterioară ACoP. Această arteră vascularizează teritorii importante – chiasma optică, tractul optic, tuber cinereum, corpii mamilari, planșeul ventriculului III anterior, hipotalamusul, talamusul inferior, tija pituitară și substanţa perforată posterioară. În majoritatea cazurilor, anevrismele ACoP se găsesc la originea vasului, sunt orientate postero-inferior, ducând astfel la comprimarea oculomotorului, dacă anevrismele depășesc 4-5 mm în diametru. Simptomatologia variază în funcţie de statusul anevrismului: în anevrismul nerupt apare paralizia musculaturii extrinseci (îndeosebi a ridicătorului pleoapei superioare, mușchiului drept superior, globul ocular fiind deviat inferior și lateral, „down and out”), precum și a celei intrinseci, caz în care apare midriază la bolnavul cu vârsta sub 50 de ani. În cazul anevrismului rupt, manifestările clinice variază între semnele generale (febră, tahicardie, hipertensiune arterială) și cefalee intensă, brusc instalată („thunderclap headache”).
Anevrismele gigante pot fi epileptogene pentru că produc compresie pe faţa medială a lobului temporal, iar cele cu trombi intraluminali pot genera accident vascular cerebral de tip ischemic.
În cadrul cursului au fost analizate și complicaţiile postoperatorii ce pot apărea în urma intervenţiilor neurochirurgicale, respectiv cele tardive (coma, hidrocefalia internă) și cele precoce (vasospasmul, ischemii prin ocluzia perforantelor sau prin mobilizarea plăcilor de aterom, deraparea clipului, hematomul subdural, hidrocefalia acută, fistula LCR, infecţia plăgii, dar și paralizia de nerv 3, tranzitorie, întâlnită în 30% dintre cazuri).
Abordul anevrismelor de arteră comunicantă anterioară (ACoA) are un grad de dificultate crescut din cauza anatomiei complexe a regiunii care implică segmentele A1, A2 și ACoA, care pot prezenta multiple variante anatomice.
Tot cu această ocazie s-a subliniat că anevrismele rupte de arteră cerebrală medie (ACM) reprezintă o urgenţă neurochirurgicală majoră, ce necesită o abordare intervenţională precoce – pentru a înlătura efectul de masă al hematomului și o reducere semnificativă a efectelor vasospasmului.
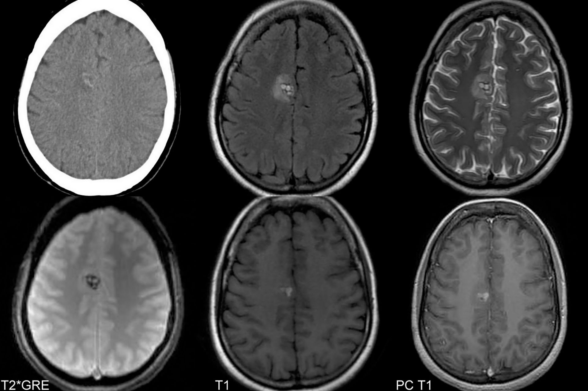
Cavernoamele cerebrale sunt leziuni benigne dinamice, cu o leziune înconjurată de ţesut gliotic ce nu conţine în interior ţesut nervos, localizate de obicei în substanţa albă. Cavernoamele se întâlnesc în două forme: solitară (cea mai frecventă) și familială (15-20%, cu transmitere autozomal dominantă). Ca simptomatologie, cavernoamele pot fi asimptomatice (12%) sau pot cauza crize comiţiale (40-50%), deficite neurologice tranzitorii sau progresive (20%), hemoragie (10-25%), cefalee. Crizele comiţiale reprezintă simptomul iniţial, crizele fiind determinate de depozitele de hemosiderină, agent epileptogenic bine cunoscut. Specialistul poate suspiciona un angiom cavernos la un pacient tânăr (20-40 de ani) cu comiţialitate. Deoarece cavernomul este bine delimitat de ţesutul cerebral înconjurător, acesta poate fi complet excizat fără a produce deficite suplimentare. O atenţie deosebită trebuie să se acorde excizării, pentru că orice rest se poate regenera. Riscurile tratamentului intervenţional depind de mărimea și de localizarea cavernomului, de condiţia biologică a pacientului, dar și de experienţa neurochirurgului.
O remarcă a specialiștilor citată în cadrul cursului a fost următoarea: „Noi nu tratăm un grup de bolnavi din punct de vedere statistic, noi tratăm un pacient care este unic în felul lui. (...) Poate că este rezonabil să rămâi cu o mică problemă neurologică după intervenţie – embolizare sau rezecţie –, decât să stai cu sabia lui Damocles – hemoragie, ruptură – deasupra capului, riscându-ţi uneori viaţa”.
Radiochirurgia stereotaxică în MAV reprezintă o modalitate minim invazivă de tratament inventată în 1951, care presupune iradierea foarte precisă cu o doză foarte mare a volumului ţintă, ce are aplicabilitate în 8,8% dintre cazuri. Intervenţia are un risc cumulativ de sângerare de 4%, iar după o intervenţie cu Gamma Knife este necesar să treacă între șase luni și trei ani pentru monitorizarea și evaluarea rezultatelor operaţiei. Copiii se recuperează mai rapid decât adulţii – rezultatele optime apar cu un an mai devreme. Pacienţii care sunt incluși în acest tip de tratament sunt cei ale căror leziuni sunt mai mici de 3 cm sau care au malformaţii arteriovenoase localizate profund, cu o structură compactă. Concluziile cursului au fost, printre altele, că această patologie implică unele costuri semnificative pentru pacient, că binele acestuia trebuie să primeze, dincolo de orgolii profesionale sau de eșecul personal. De aceea, tratamentul hemoragiilor cerebrale, indiferent de natura lor (malformaţii, tumori benigne, rezultat al unor traumatisme sau compresii neurologice), trebuie să fie unul instituit precoce, de către o echipă multidisciplinară – neurolog, oncolog (unde este cazul), radiolog intervenţionist, specialist în chirurgie endovasculară, neurochirurg, experienţa celui din urmă având o importanţă deosebită.
Dacă vrei să fii la curent cu tot ce se întâmplă în lumea medicală, abonează-te la „Viața Medicală”, publicația profesională, socială și culturală a profesioniștilor în Sănătate din România!
Titularii abonamentelor pe 12 luni sunt creditați astfel de:
Cookie-urile ne ajută să vă îmbunătățim experiența pe site-ul nostru. Prin continuarea navigării pe site-ul www.viata-medicala.ro, veți accepta implicit folosirea de cookie-uri pe parcursul vizitei dumneavoastră.
Da, sunt de acord Aflați mai multe