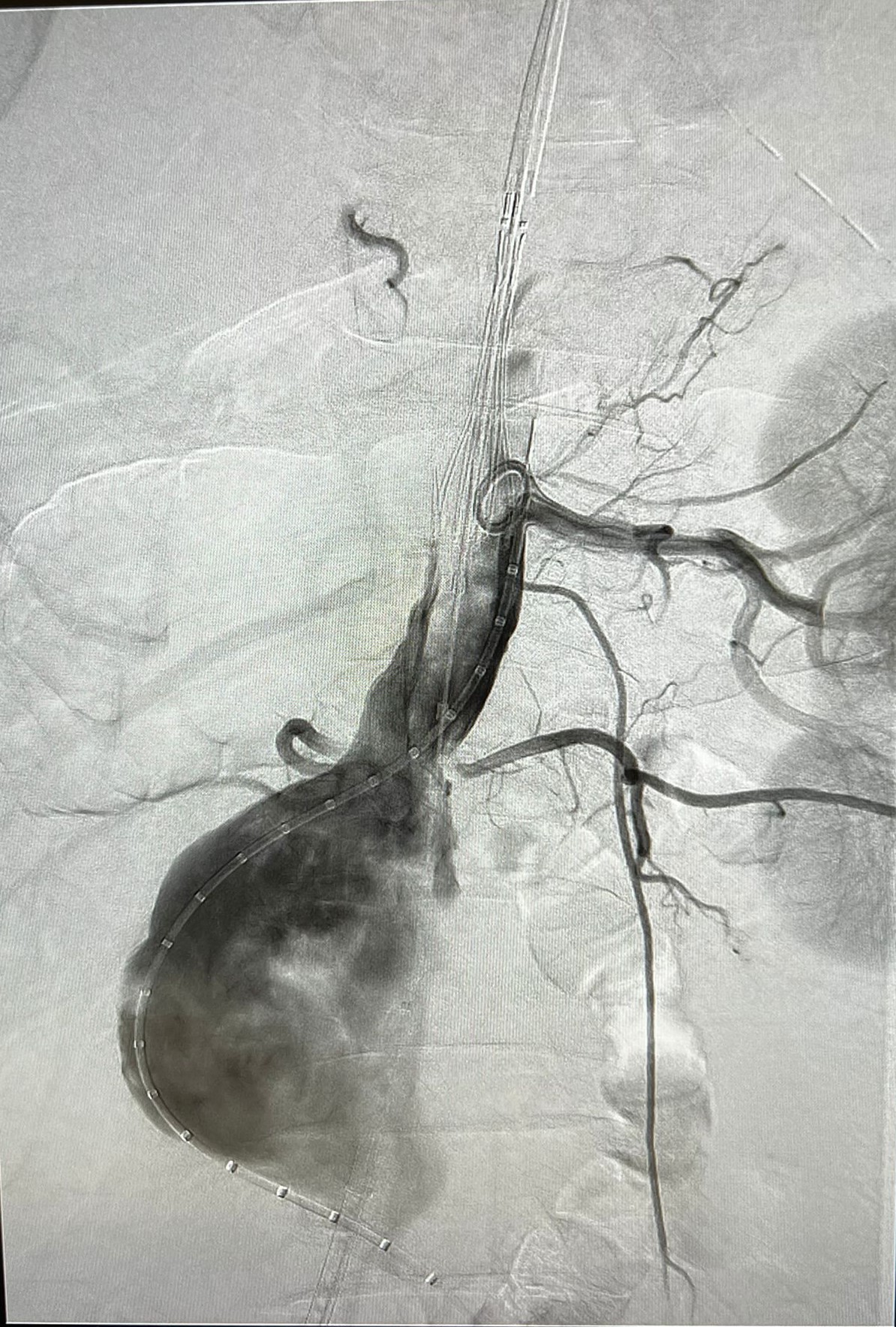
În Clinica de Chirurgie Cardiovasculară a UMF Carol Davila de la Spitalul Clinic de Urgență București (Floreasca) au fost rezolvate săptămâna trecută trei cazuri de anevrism de aortă abdominală infrarenală, dintre care unul rupt.
Soluția adoptată a fost non-chirurgicală: s-a realizat implantarea unor stentgrafturi endoaortice pecutanat (fără incizii chirurgicale) – EVAR, se arată pe pagina de Facebook Chirurgie cardiovasculară Floreasca.

Procedurile au fost realizate de prof. univ. dr. habil. Horațiu Moldovan (foto), Șeful Clinicii de Chirurgie Cardiovasculară, împreună cu colegii chirurgi, cardiologi intervenționali și anesteziști:

Pacienții au fost investigați radiologic de dr. Costin Minoiu și pregătiți din punct de vedere cardiologic de Dr. Andrada Guță și Dr. Claudia Nica.
„Le mulțumim tuturor, precum și managmentului Spitalului Clinic de Urgență București, de al cărui suport am beneficiat constant în dezvoltarea acestei unități clinice”, au transmis reprezentanții Spitalului Floreasca.

Dacă vrei să fii la curent cu tot ce se întâmplă în lumea medicală, abonează-te la „Viața Medicală”, publicația profesională, socială și culturală a profesioniștilor în Sănătate din România!
Titularii abonamentelor pe 12 luni sunt creditați astfel de:
Cookie-urile ne ajută să vă îmbunătățim experiența pe site-ul nostru. Prin continuarea navigării pe site-ul www.viata-medicala.ro, veți accepta implicit folosirea de cookie-uri pe parcursul vizitei dumneavoastră.
Da, sunt de acord Aflați mai multe