Newsflash

Conf. dr. Cristian GHEORGHE


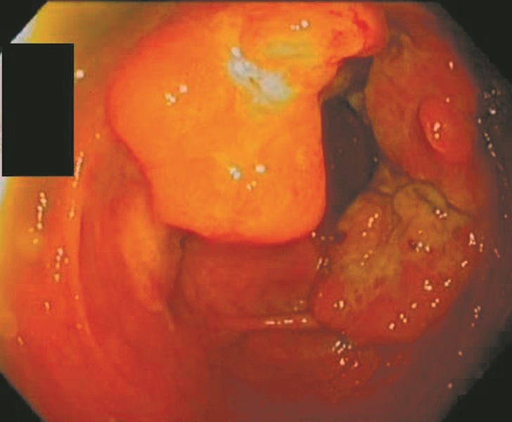
Screeningul colonoscopic al cancerului colorectal

de Dr. Bogdan COTRUŢĂ - apr. 8, 2011

    Cancerul colorectal reprezintă o problemă majoră de sănătate publică, fiind cea mai frecventă boală oncologică şi a doua cauză de deces prin cancer, după cel pulmonar. În populaţia generală, 30% din indivizi prezintă risc crescut pentru dezvoltarea acestui tip de cancer. Screeningul colonoscopic al cancerului colorectal constituie subiectul articolului semnat de dnii dr. Bogdan Cotruţă şi prof. dr. Cristian Gheorghe. (...)
 

Audiologia, într-un foarte util manual

de Conf. dr. Cristian GHEORGHE - feb. 12, 2010

Hipoacuzia reprezintă o problemă de sănătate publică şi poate apărea la orice vârstă. Problemele de auz afectează aproximativ 10% din populaţia globului. Se estimează că în ţara noastră ar fi peste un milion de persoane ce au probleme cu auzul. Întrucât afectarea auditivă are o amploare socială mare, depistarea, diagnosticarea corectă şi reabilitarea auditivă şi logopedică au adus în câmpul recuperării un număr semnificativ de pacienţi. (...)

Live Endoscopy Workshop de gastroenterologie

de Conf. dr. Cristian GHEORGHE - oct. 30, 2009

În perioada 15–16 octombrie 2009, s-a desfăşurat la Cluj-Napoca cel mai important eveniment de Endoscopie digestivă din România din ultima decadă. Manifestarea a fost organizată sub egida Societăţii Europene de Endoscopie Digestivă (ESGE), a Societăţii Europene a Asistenţilor de Endoscopie Digestivă (ESGENA) şi a Societăţii Române de Endoscopie Digestivă (SRED). (...)

SINDROMUL DE INTESTIN IRITABIL

de Dr. Bogdan COTRUŢĂ - sept. 18, 2009

Sindromul de intestin iritabil (SII) reprezintă o tulburare funcţională gastrointestinală caracterizată prin prezenţa durerilor abdominale şi a unui tranzit intestinal anormal în absenţa unei patologii organice specifice. Încă din 1892, Osler descria sub termenul de colită mucoasă o afecţiune cu incidenţă crescută în rândul pacienţilor cu afecţiuni psihice, ce se manifestă prin prezenţa de dureri colicative abdominale concomitent cu emisia de scaune cu mucus. De atunci, sindromului i-au fost atribuite diverse terminologii precum: colon iritabil, colon spastic sau chiar „nevroză“ colică. (...)

Căutare Avansată

Abonează-te la Viața Medicală!

Dacă vrei să fii la curent cu tot ce se întâmplă în lumea medicală, abonează-te la „Viața Medicală”, publicația profesională, socială și culturală a profesioniștilor în Sănătate din România!

  • Tipărit + digital – 200 de lei
  • Digital – 120 lei

Titularii abonamentelor pe 12 luni sunt creditați astfel de:

  • Colegiul Medicilor Stomatologi din România – 5 ore de EMC
  • Colegiul Farmaciștilor din România – 10 ore de EFC
  • OBBCSSR – 7 ore de formare profesională continuă
  • OAMGMAMR – 5 ore de EMC

Află mai multe informații despre oferta de abonare.

Cookie-urile ne ajută să vă îmbunătățim experiența pe site-ul nostru. Prin continuarea navigării pe site-ul www.viata-medicala.ro, veți accepta implicit folosirea de cookie-uri pe parcursul vizitei dumneavoastră.

Da, sunt de acord Aflați mai multe